Aortic dissection is a tear in the lining of the aorta. When the lining tears or dissects, a flap is created. Blood can enter into the lumen, destroying the media and other layers which can cause more tearing or rupturing of the lumen. Depending on the location, it can be deadly.
Complications associated with dissection of the aorta include aortic regurgitation, pericardial effusion, internal bleeding as well as organ damage, coronary artery damage and heart attack.
Signs and symptoms include speech difficulty l, loss of vision, loss of consciousness, shortness of breath. Often times patients experience sharp pain in the are it happens (abdomen or chest or back).
Risk factors include pregnancy, trauma, infection, aortic coarctation, bicupsid aortic valve and hypertension.
There are different types and classification of aortic dissection:
– type I and II – located by the root – dilated root and ascending aorta
– type I and III – located by descending aorta
Debakey system:
Type I – tear in ascending aorta, aortic arch and descending aorta
Type II – tear in the ascending aorta
Type III- tear in the descending aorta
Stanford system:
– Type A – proximal. Tear in the ascending aorta. Needs to be surgically repaired
– Type B – distal. tear in the descending aorta may need surgery or therapy
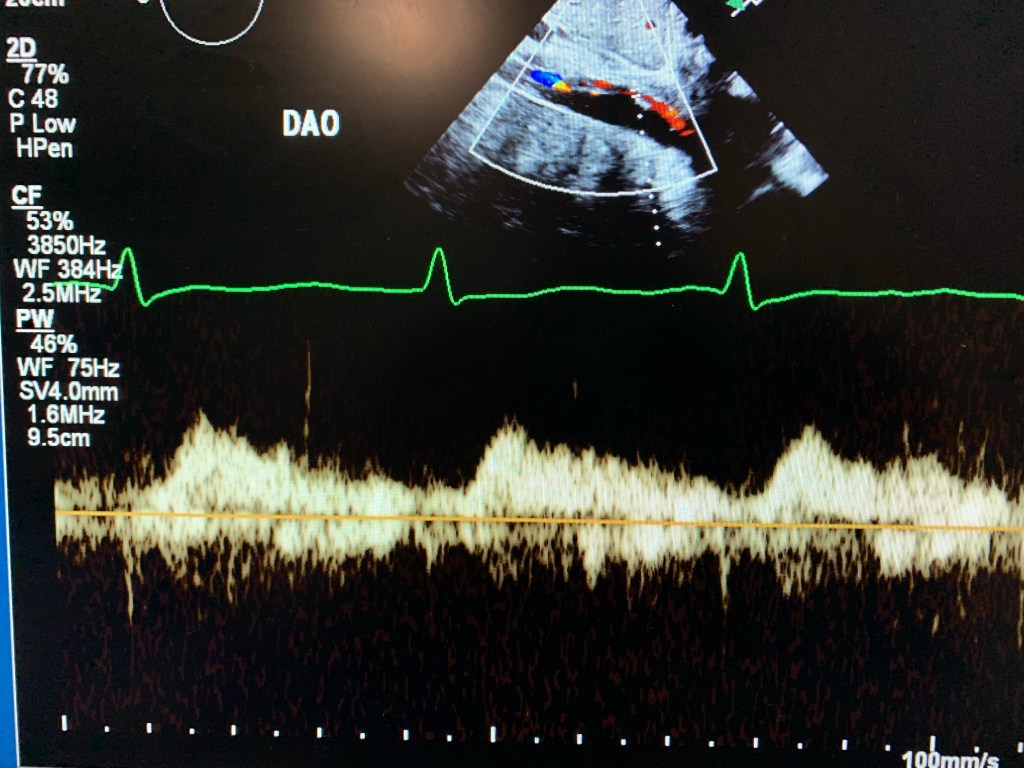
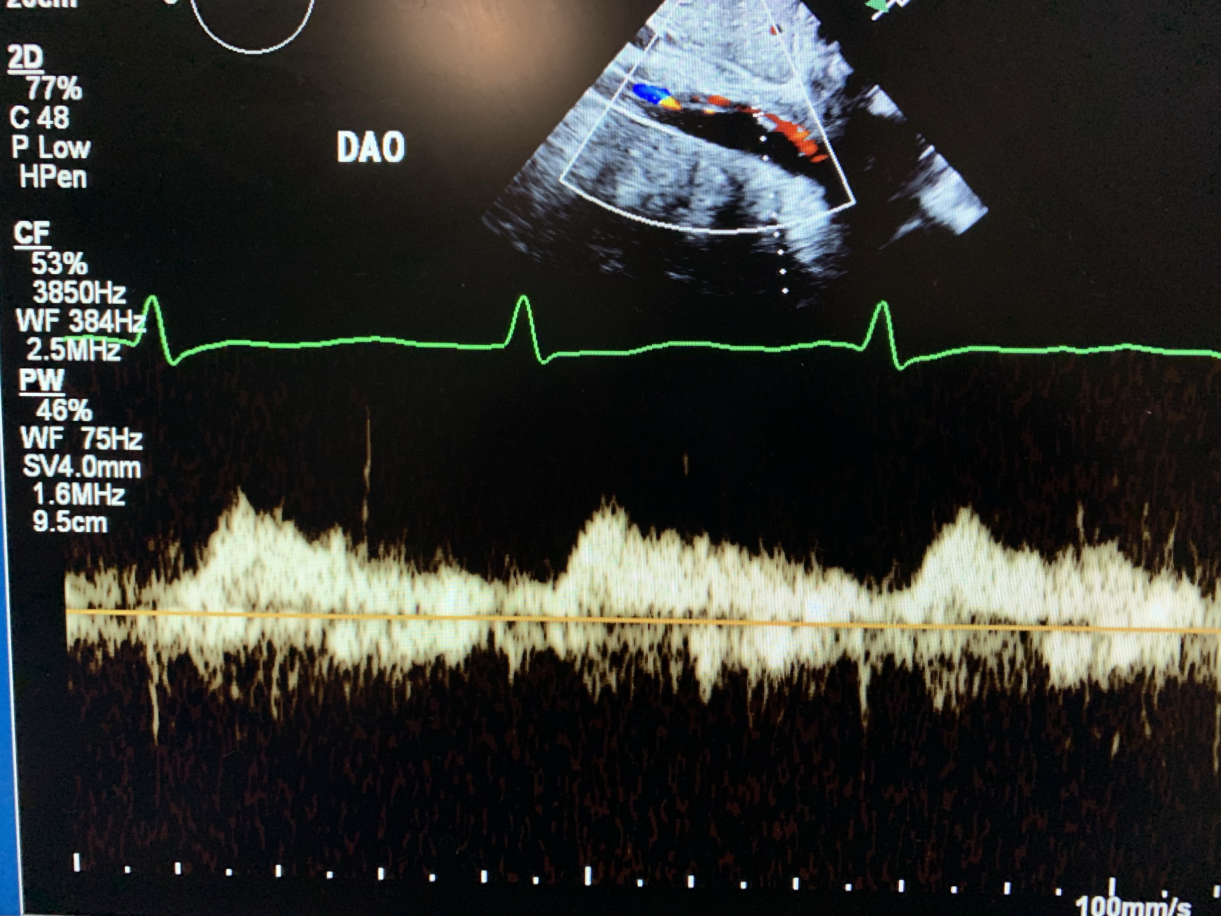
Echo:
Visualize PLAx view. Use high window and color Doppler.
Apical 5, 2, and 3 – visualize the aorta
Subcostal and suprasternal. Especially descending aorta.


Credits: Susan DeWitt textbook and ASE echo online